Mary: “Hi, I’m
Mary, and I just had my back fused. I’m doing pretty good. I’m taller and I’m
feeling pretty good, so thanks to all the nurses and Dr. Hey.”
Mary’s Father: “And
I would like to thank Dr. Hey and his staff and everybody at the Hospital at
Duke Raleigh. It was great, and it went much better than I thought it might. We
were very pleased.”
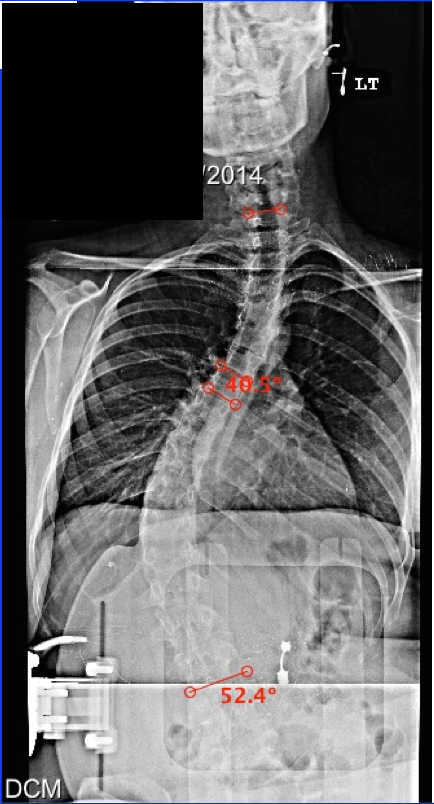
24 year old Mary
came to the Hey Clinic about a year ago with Friedreich’s
ataxia, progressive scoliosis, and back and neck pain. She was first diagnosed with scoliosis
at age 9, but over the past 8 years, her scoliosis progressed almost 5
degrees/year. At the time of her surgery, 6 weeks ago, she had a C6-T7 curve
measuring 40 degrees and a 52 degree curve from T7-L3. In addition, her
kyphosis measured 72 degrees. It was great seeing Mary back in the office
today! Below are Mary's pre-op and post-op x-rays.
Mary gave us permission to use her testimonial for educational purposed on the Hey Clinic blog.




No comments:
Post a Comment